Gum Grafting Seoul
Expert Treatment for Receding Gums
at Yonsei Heal Dental Clinic Seoul
If you've noticed your teeth looking longer than before, or if cold drinks and hot foods cause sharp pain, get expert gum grafting today.
- Microsurgical Precision Techniques
- Advanced Tissue Regeneration Methods
- Same-Day Consultation and Treatment Planning
Let’s Create Your Perfect Smile
Start Your Smile Journey Today
What is Gum Grafting?
Gum grafting is a periodontal surgical procedure designed to treat gum recession, a condition where the gum tissue pulls back and exposes the tooth roots. This can lead to tooth sensitivity, higher risk of decay, and aesthetic concerns such as elongated teeth or an uneven gumline.
In Yonsei Heal Dental Clinic, many modern dental clinics offer gum grafting with advanced techniques, making the procedure safe, minimally invasive, and effective. For foreigners living in Korea, several clinics provide English-speaking services, ensuring clear communication throughout the treatment.
Why You Might Need Gum Grafting
- Gum Recession – Exposed roots due to periodontitis or aggressive brushing
- Tooth Sensitivity – Pain or discomfort with hot, cold, or sweet foods
- Aesthetic Concerns – “Long teeth” or an uneven smile line
- Preventing Further Damage – Protecting tooth roots from decay or wear
- Orthodontic or Implant Support – Strengthening gums before or after treatments
Recovery After Gum Grafting
- Healing Period – Typically 1–2 weeks, with full recovery in 4–6 weeks
- Diet Restrictions – Soft foods recommended, avoid spicy or hard foods
- Oral Care – Gentle brushing with a soft toothbrush, medicated rinses as prescribed
- Follow-Up Appointments – Ensures the graft is healing properly and integrates with natural tissue
Don't Let Receding Gums Steal Your Comfort and Confidence
Microsurgical Precision Techniques
"The results were incredible. My teeth look completely natural now, and I can finally enjoy cold drinks again without pain."
- Jennifer Park,
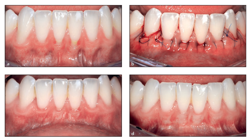
What Is a Gum Graft?
Gum grafting treats problems with receding or thinning gums, where your gums have pulled away from your teeth, exposing your tooth roots so your teeth look longer. Exposed tooth roots can cause problems with sensitivity. The risk of decay is higher because they are not covered in protective tooth enamel.
A gum graft must usually be completed by a periodontist, who is a specialist dentist. The procedure restores lost tissue around your teeth, helping to make it easier to maintain good oral hygiene and healthy teeth and gums.
Why Might I Need a Gum Graft?
There are several reasons why we may suggest you have a gum graft. The most common is gum recession due to periodontal disease. Some people have genetically thinner gums than others. A gum graft may be useful when placing dental implant or completing other restorative treatments.
Gums can also recede if you brush your teeth too hard, literally wearing away the gum tissue and exposing your tooth roots; we always recommend using a soft-bristled toothbrush and light pressure to clean teeth and gums thoroughly.
What Happens If I Need a Gum Graft?
When you see our periodontist, they can evaluate your gum health thoroughly. They will check for any signs of gum recession around your teeth and any signs of active periodontal disease. If you have periodontal disease, this must be treated first.
After your gum evaluation, our periodontist can discuss their findings and explain how gum grafting techniques may help you achieve better oral health. They will also discuss the gum grafting technique they recommend.
What Are the Different Types of Gum Grafts?
Three types of gum grafts are frequently used. These are:
- Connective tissue grafts.
- Free gingival grafts.
- Pedicle grafts.
Connective Tissue Grafts
A connective tissue graft is the most common graft recommended to cover up exposed tooth roots. During this procedure, we make a small incision into the roof of your mouth, called the upper palate, to create a flap of skin. Next, we can remove some tissue from underneath the flap, called sub-epithelial connective tissue.
Once removed, the tissue is stitched around the gum, hiding the exposed tooth root. Treatment is completed by closing up the flap in your upper palate with stitches.
Free Gingival Grafts
A free gingival graft is a similar process using tissue taken from the roof of your mouth. However, instead of creating a flap and removing tissue from underneath the flap, we remove tissue from the top layer of your upper palate. After removing the tissue from your mouth, we can place a periodontal dressing to protect your upper palate. The harvested tissue is then attached around the gum.
We will most likely recommend this procedure if you have thinner gums than average and need more gum tissue to help enlarge them.
Pedicle Grafts
A pedicle graft is slightly different, taking gum tissue from a nearby gum instead of from your palate. During this treatment, we cut a flap of tissue away from a nearby gum but leave it partly attached. The flap is called a pedicle and can be stretched to cover the exposed tooth root.
Although this type of gum graft is very successful, we can only suggest it when someone has plenty of healthy gum tissue near the tooth requiring treatment.
What to Expect During Gum Graft Surgery?
Before we carry out your surgery, we will numb your teeth and gums in the area treated using local anesthetic. Alternatively, you can discuss sedation dentistry during your initial visit with our periodontist.
Treatment is very straightforward and follows the steps below.
- Once you are comfortable and relaxed, our periodontist will make a small incision to create a tiny flap in the gums.
- They will clean the tooth roots thoroughly before harvesting the gum graft. The surgery site is then stitched shut, or we will place a periodontal dressing to protect it.
- Once the gum grafting material is harvested, it is placed over the exposed tooth roots and stitched into position.
What to Expect after Gum Grafting?
Once the anesthetic wears off, you may feel slight soreness and discomfort. We may prescribe medications to help with any pain and provide detailed postsurgical instructions. Please follow these carefully to reduce the risk of infection and minimize discomfort.
We will probably ask you to return to our dental office a week after your gum grafting procedure so we can check the graft is healing well. We can also provide further advice on brushing, flossing, and what to eat as healing continues.
It is best to avoid strenuous activity for a week after, but you should be okay with returning to work within a day or two.
First Day
You may experience some swelling, discomfort, and minor bleeding, so it’s important to take it easy and take all medications we may have prescribed. We will advise you on which foods to eat during initial healing, but we generally aim to eat softer and cooler foods like yogurt and smoothies.
You must keep the surgical site clean, and we may suggest using an antibacterial mouthwash. You shouldn’t brush or floss around the gum graft, but you can brush and floss your other teeth as normal. Our periodontist will advise when to begin brushing and flossing around the gum graft.
First Week
Any bleeding should stop within the first day or two, but swelling may persist for three or four days, and you may have some mild bruising. These side effects are all perfectly normal, and you should continue taking any prescribed medications.
As your gums start to heal, you can incorporate more foods into your diet as you feel able. These include cooked vegetables, pasta, eggs, and fish. Avoid foods that are harder to chew or contain seeds or anything that could become stuck around your gums.
Second Week
By now, swelling and bruising should have diminished, and your gums should feel more comfortable. As they heal more, you can incorporate a wider choice of foods. Please continue to avoid anything very hard, crunchy, or spicy until we say it is okay.
What Are the Advantages of Gum Grafting?
Your gums are meant to fit snugly around your teeth; when they do so, you can experience the following advantages.
- Your risk of gum disease can be lower.
- Healthy gums can reduce your risk of cavities since exposed tooth roots are more vulnerable to decay.
- Your teeth may feel less sensitive since your tooth roots are covered.
- Healthy pink gums can help improve the smile
Are There Any Risks or Complications of Gum Grafting Surgery?
Complications are rare, but there is always a small risk of infection, that the gum graft could be rejected or heavy bleeding.
If a gum graft fails, you will probably notice a patch of white tissue around the tooth, or it may start to come away. This is because the gum graft is not receiving any blood and is dying. If you are worried about your gum graft, feel something doesn’t look right, or develop a fever, please contact us immediately so we can help you.
Typically, gum grafting has a very high success rate. It can be extremely effective in treating gum recession and improving overall health. Receding gums can increase the risk of cavities, severe gum disease, and even tooth loss without treatment.
Lead Specialist
Dr. Jung
Graduated from Yonsei University College of Dentistry and completed advanced implant training at Seoul National University Hospital. With over 15 years focusing exclusively on complex implant cases, Dr. Jung has successfully restored smiles for thousands of Seoul residents.
"Every patient deserves to eat comfortably and smile confidently. Our goal isn't just to place implants - it's to give you back your quality of life."
Supporting Specialists
Our team includes periodontists, oral surgeons, and laboratory technicians working together to ensure your treatment succeeds. We maintain continuing education relationships with Seoul's top dental institutions to bring you the latest techniques.

You-First
Approach
Getting an implant is an important decision. We’ll educate you on this procedure and empower you to take control of your oral health.
Affordable
Care
We believe that everyone deserves high-quality care. We offer easy payment options to make getting an implant affordable.
Comfortable Experience
Feeling nervous? We offer years of experience, sedation options, and attentive care to ensure your comfort.
Meet Our Director
FAQs
Is gum grafting surgery painful?
Modern gum grafting techniques are surprisingly comfortable. Local anesthesia eliminates pain during surgery, and most patients describe mild discomfort afterward that's easily managed with over-the-counter medication. Many return to work the next day.
How long does gum grafting take to heal?
Initial healing takes 1-2 weeks, with full integration occurring over 4-6 weeks. You'll see immediate improvement in appearance, with sensitivity relief beginning within days and becoming complete as healing progresses.
Will my gum graft look natural?
Yes. Advanced microsurgical techniques ensure seamless integration with your existing gums. The grafted tissue adapts to match your natural gum color and texture, creating results that look completely natural.
Can receding gums grow back without surgery?
No. Once gum tissue is lost, it cannot regenerate naturally. Gum grafting is the only way to restore lost tissue and protect exposed roots from further damage and sensitivity.
What's the success rate of gum grafting?
Gum grafting has excellent success rates, typically over 95% when performed by experienced periodontists. The procedure is considered the gold standard for treating gum recession and has been refined over decades.Yes. Research shows strong links between gum disease and heart disease, diabetes, stroke, and other serious conditions. Bacteria from infected gums can enter your bloodstream and affect your entire body.
Testimonials
"I suffered with sensitivity for three years before getting gum grafting. The procedure was much easier than I expected, and within a month I could drink cold beverages without any pain. My teeth look so much better too - my gumline is even again."
Hannah Patterson
"I was terrified about gum grafting, but Dr. Kim explained everything clearly in English and made sure I was comfortable throughout. I took just two days off work, and my gums healed beautifully. The sensitivity is completely gone."
Tyler Simmons
"My receding gums made me look so much older. After the gum graft, my teeth look properly proportioned again. Friends keep asking if I got my teeth whitened, but it's just that my gumline looks healthy and natural now."
Amanda Hughes
Procedure
The sooner you address gum recession, the easier the treatment.
Choose Seoul's most trusted expertise in gum restoration.







