Implant Before & After

A before-and-after comparison shows a man's face with and without dental work, smiling.
Before and after of a man smiling with his new teeth.
Before and after dental work: Man with missing teeth smiles wider, revealing new teeth.
Before and after dental procedure: Smiling Asian man with new teeth.
A man's face before and after a procedure, showing a change in expression from neutral to smiling with open mouth.
Man before and after dental work, showing missing teeth before, and smile after.
Before and after photos of a man's smile, highlighting teeth replacement. He's smiling widely in the
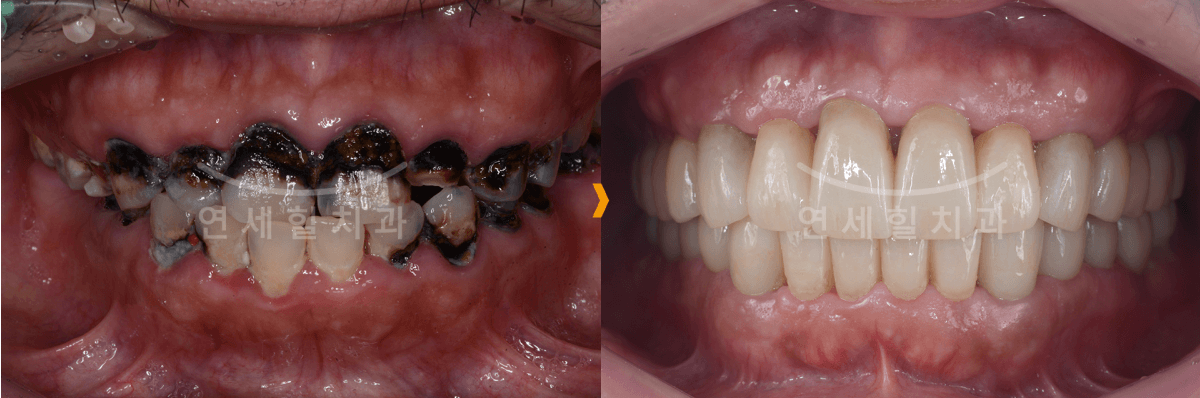
Before and after dental work. The teeth on the left are blackened, and the right is a healthy set of white teeth.